Cazuri clinice
La iSmile Dental Timișoara transformăm zâmbete zi de zi. În această secțiune îți arătăm cazuri clinice reale, cu imagini înainte și după tratament, care demonstrează cum medicina dentară modernă redă sănătatea zâmbetului și încrederea pacienților.
Cazuri clinice
La iSmile Dental Timișoara transformăm zâmbete zi de zi. În această secțiune îți arătăm cazuri clinice reale, cu imagini înainte și după tratament, care demonstrează cum medicina dentară modernă redă sănătatea zâmbetului și încrederea pacienților.
După
După
După
Înainte
Înainte
Înainte
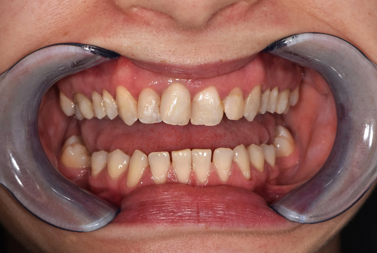
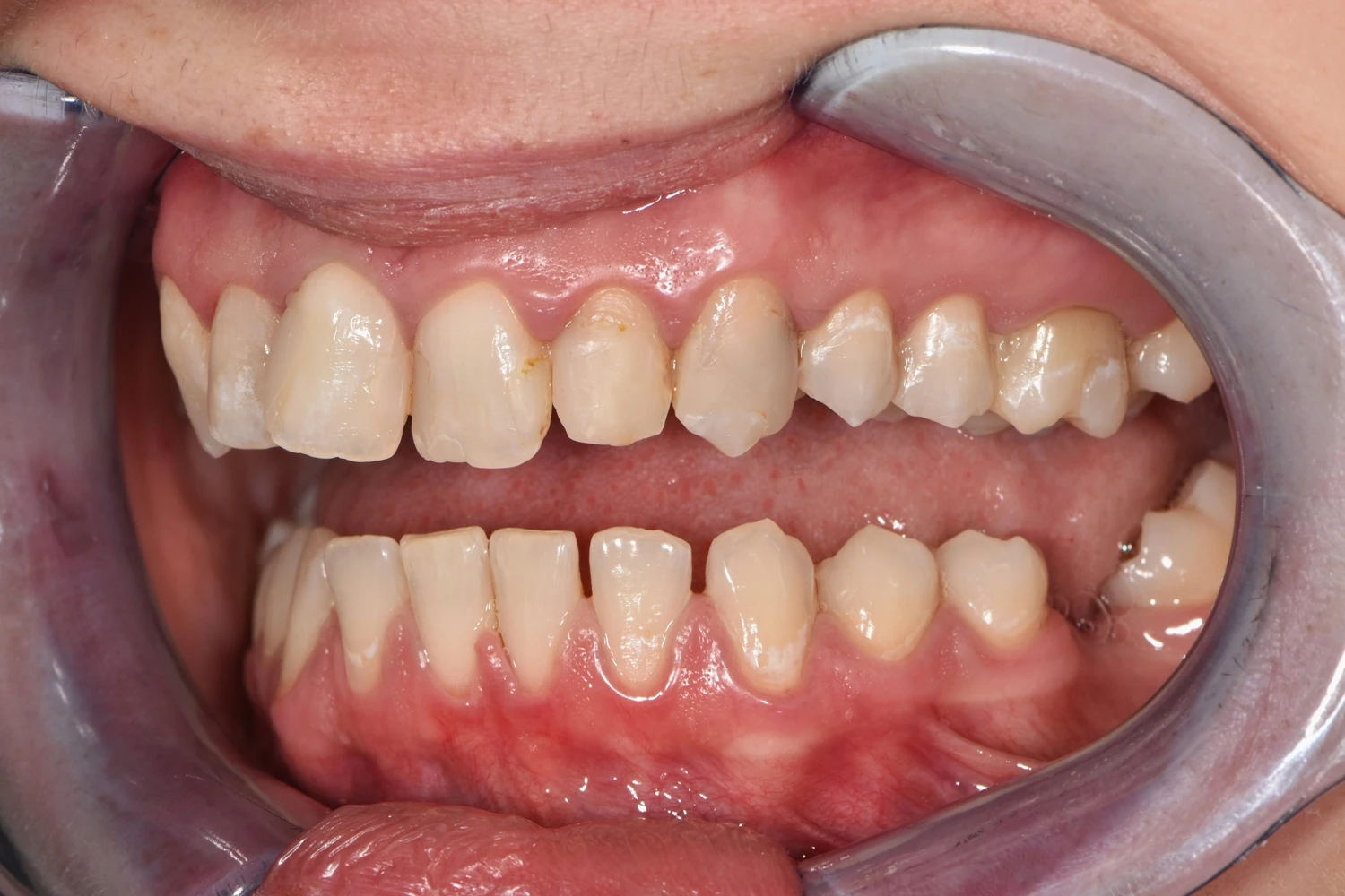
Caz de estetică dentară – Fațete ceramică presată E-Max
După
După
După
Înainte
Înainte
Înainte
Provocarea acestui caz a fost în prepararea minim invazivă a dinților centrali rotați și a obține o formă și o culoare cât mai naturală, pacienta dorind un caz de estetică dentară ce să nu fie observabil.
Pacienta a beneficiat de corecție gingivala cu laser pentru uniformizarea asimetriilor gingivale, tratamente endodontice de canal sub microscop, obturațiile vechi (plombe) schimbate cu materiale de compozit cu particule nanoceramice, și fațete dentare din ceramică presată E-Max.
Termen de finalizare 2 săptămâni de la amprentarea finală.
Caz de estetică dentară – Coroane ceramică presată E-Max
După
După
După
După
După
Înainte
Înainte
Înainte
Înainte
Provocarea acestui caz a fost tratarea minim invazivă a dinților restanți, în urma înlocuirii coroanelor vechi și obținerea unor dinți cu un volum mai mare pentru echilibrarea zâmbetului într-un aspect cat se poate de natural.
Pacientă a beneficiat de corecție gingivală cu laser pentru uniformizarea asimetriilor gingivale, tratamente endodontice de canal sub microscop, obturațiile vechi (plombe) schimbate cu materiale de compozit cu particule nanoceramice, și fațete dentare din ceramică presată E-Max.
Termen de finalizare 2 săptămâni de la amprentarea finală.
După
După
După
După
După
Înainte
Înainte
Înainte
Înainte
După
După
După
După
Înainte
Înainte
Înainte
Înainte
Caz estetică dentară – 4 coroane de zirconiu și ceramică E-Max
După
După
După
După
Înainte
Înainte
Înainte
Înainte
Provocarea acestui caz a fost în corectarea dinților laterali mult rotați prin aducerea lor la plan împreună cu incisivii centrali, pacienta refuzând purtarea unui aparat dentar.
Pacientă a beneficiat de corecție gingivala cu laser pentru asimetriile gingivale, tratamente endodontice de canal sub microscop, obturațiile vechi (plombe) schimbate cu materiale de compozit cu particule nanoceramice și 4 coroane de zirconiu ceramică.
Termen de finalizare 2 săptămâni de la amprentarea finală.
Caz estetica dentară – Coroane de zirconiu și ceramică E-Max
După
Înainte
Provocarea acestui caz a fost în obținerea unui plan drept a marginilor incizale a dinților cât și păstrarea unei forme aproximativ identice a vechilor dinți ai pacientului, dar sub o culoare mult mai albă.
Pacientul și-a dorit o culoare Bleach 2, cu mențiunea să păstrăm aproximativ volumul vechilor dinți. Pacientul a beneficiat de corecție gingivala cu laser pentru asimetriile gingivale, tratamente endodontice de canal sub microscop, obturațiile vechi (plombe) schimbate cu materiale de compozit cu particule nanoceramice și coroane de zirconiu ceramică individuale pentru menținerea esteticii.
Termen de finalizare 2 săptămâni de la amprentarea finală.
După
Înainte
După
După
După
După
Înainte
Înainte
Înainte
Înainte
Caz de reabilitare totală orală.
După
După
După
După
Înainte
Înainte
Înainte
Înainte
Provocarea acestui caz a fost in reabilitarea totală a pacientului atâta a maxilarului superior cat și a mandibulei, tratând absolut toți dinții prezenți și reconstruindu-i cu pivoți de fibră de sticlă pentru a putea obține o susținere suficientă pentru viitoarele coroane.
Grupul superior fiind distrus complet, am efectuat tratamente la microscop, reconstrucția individuală a fiecărui dinte, tratamente parodontale cu laser pentru sănătatea ginigivala și am optat pentru coroane individuale de zirconiu ceramică pentru un plus de duritate și protecție a dinților cat și pentru o estetică frumoasă. Au fost folosite un set de provizorii de lungă durată pentru reechilibrarea articulației și muscaturii.
Pacientul a beneficiat inferior de igienizare în profunzime , detartraj și airflow, tratamente endodontice , obturații ( plombe) , tratamente parodontale cu laser iar în final punți și coroane individuale de zirconiu ceramica.
Termen de finalizare 2 săptămîni de la amprentarea finală.
Caz estetica dentară – Coroane de zirconiu și ceramică E-Max
După
După
După
După
Înainte
Înainte
Înainte
Provocarea acestui caz a fost în corecția asimetriei gingivale, rezolvarea problemelor parodontale datorată lucrărilor vechi metaloceramice, închiderea spațiului dintre incisivii centrali și vindecarea unor chisturi voluminoase la nivel osos în urma unor tratamente de canal incorect făcute.
Pacientul a beneficiat de corecție gingivala cu laser pentru asimetriile gingivale, tratamente endodontice de canal sub microscop, obturațiile vechi (plombe) schimbate cu materiale de compozit cu particule nanoceramice și coroane de zirconiu ceramică, tratarea bolii parodontale prin chiuretaje gingivale cu laser.
Termen de finalizare 2 săptămâni de la amprentarea finală.
După
După
După
După
Înainte
Înainte
Înainte
După
După
După
După
După
Înainte
Înainte
Înainte
Înainte
Înainte
Caz reabilitare orală a maxilarului superior
După
După
După
După
După
Înainte
Înainte
Înainte
Înainte
Înainte
Provocarea acestui caz a fost crescută. Deoarece a fost nevoie de a echilibra partea stângă și partea dreaptă a feței pacientei prin două lucrări din materiale diferite, zirconiu ceramic partea stângă și ceramică presată partea dreaptă. Pacientei i-a fost înlocuită puntea veche acrilat-metalică din cadranul 1 (partea stângă a feței) cu o punte de zirconiu ceramică estetică, pentru a obține o forță masticatorie crescută în urma extracțiilor dentare.
I-au fost făcute tratamente parodontale pentru a corecta gingia inflamată din cauza acestei punți. Au fost corectate marginile gingivale folosind laserul pentru a obține simetrie gingivala. În partea dreaptă a feței au fost folosite fațete ceramică presată E-Max pentru o abordare minim invazivă, pacienta dorind să păstreze pe cât posibil dinții proprii integri.
Dificultatea acestui caz a fost în realizarea unei simetrii a feței, folosind 2 materiale diferite (zirconiu ceramică pentru susținere și duritate) și ceramică E-Max pentru fațete minim invazive, cât și în corecția gingivală datorată problemelor parodontale.
Pacienta și-a dorit o culoare mult mai deschisă a noilor dinți față de dantura inferioară cat și un volum crescut al noilor dinți pentru corecția gingiei în zâmbet. Pacienta a beneficiat de corecție gingivală folosind laserul, tratarea problemelor parodontale prin chiuretaje cu laser, îndepărtarea vechii lucrări, realizarea unei noi lucrări zirconiu ceramică și fațete ceramică presată pentru dinții restanți.
Caz estetica dentară – Coroane de zirconiu și ceramică E-Max
După
După
Înainte
Înainte
Provocarea acestui caz a fost în corecția asimetriilor mari la nivel gingival, a dinților rotați care fuseseră reconstruiți cu obturații (plombe) masive și oferirea unui volum general al părților laterale pentru un zâmbet mai larg.
Pacienta și-a dorit o culoare mai albă a dinților, dar rămânând într-o zonă de naturalețe. Pacienta a beneficiat de corecție gingivala cu laser pentru asimetriile gingivale, tratamente endodontice de canal sub microscop, obturațiile vechi (plombe) schimbate cu materiale de compozit cu particule nanoceramice și coroane de zirconiu ceramică individuale pentru menținerea esteticii.
Termen de finalizare 2 săptămâni de la amprentarea finală.
După
După
Înainte
Înainte
După
După
După
Înainte
Înainte
Înainte
Caz estetică dentară – Coroane de zirconiu și ceramică E-Max
După
După
După
Înainte
Înainte
Înainte
Provocarea acestui caz a fost în corecția asimetriei gingivale , rezolvarea problemelor parodontale datorată lucrărilor vechi metaloceramice, închiderea spațiului dintre incisivii centrali și vindecarea unor chisturi voluminoase la nivel osos în urma unor tratamente de canal incorect făcute.
Pacientul a beneficiat de corecție gingivala cu laser pentru asimetriile gingivale, tratamente endodontice de canal sub microscop, obturațiile vechi( plombe) schimbate cu materiale de compozit cu particule nanoceramice și coroane de zirconiu ceramică , tratarea bolii parodontale prin chiuretaje gingivale cu laser.
Termen de finalizare 2 săptămîni de la amprentarea finală.
Implant dentar cu implantare imediată în 24H – Fast and Fixed
După
Înainte
Provocarea acestui caz din punct de vedere chirurgical a fost obținerea unei stabilități osoase suficiente astfel încât pacienta putând să primească dinți ficși provizorii în 24 ore, osul fiind extrem de slăbit în urma unui accident. Provocarea din punct de vedere estetic a fost de a uniformiza culoarea noului incisiv primit cu culoarea identică a incisivului vecin.
Pacienta a beneficiat de implant titan Bredent, o coroană de zirconiu ceramic pentru estetică, evaluare boală parodontala și chiuretaje gingivale cu laser.
Termen de finalizare 2 săptămâni de la amprentarea finală.
După
Înainte
După
Înainte
4 implanturi dentare cu implantate imediată în 24h – Fast and Fixed
După
Înainte
Provocarea acestui caz a fost de a obține stabilitate osoasă suficientă pentru a putea încărca implanturile cu dinți provizorii ficși în 24 ore. În urma unui accident foarte grav, osul era extrem de afectat.
Pacientul a dorit să își mențină diastema (strungăreața) pe care a avut-o în dantură originală. Centralii și lateralii au fost orientați ușor în exterior pentru a obține o mușcătură adecvată, dinții inferiori ai pacientului fiind ușor înclinați spre exterior de asemenea. S-au folosit implanturi de titan, Bredent – Germania. Și coroane de zirconiu ceramică pentru estetică.
Termen de finalizare 2 săptămâni de la amprentarea finală.
6 implanturi dentare cu implantare imediată în 24h – Fast and Fixed
După
După
Înainte
Înainte
Provocarea acestui caz a fost în realizarea unor implanturi cu încărcare imediată în 24ore, în urma unor extracții și a unor probleme grave parodontale datorată vechii lucrări și a dinților de sub lucrare care erau în totalitate măcinați.
Pacienta și-a dorit niște dinți cu un volum crescut, fără a se mai observa marginea gingivală în zâmbet, cât și o culoare cât mai naturală a dinților. Pacientei i-au fost inserate 6 implanturi Titan, Bredent – Germania, extracții și chiuretaje pentru înlăturarea bolii parodontale, putând să primească dinți ficși în doar 24 ore.
Termen de finalizare 2 săptămâni de la amprentarea finală.
După
După
Înainte
Înainte
După
Înainte
6 implanturi dentare imediate, Fast and Fixed, cu încărcare în 24 ore
După
Înainte
Provocarea acestui caz a fost în decontaminarea totală a vechii lucrări, restaurarea sănătății gingivale și obținerea unui stabilități osoase implantare în urma problemelor medicalale din cauza vechii lucrări și a dinților erodări pe sub lucrare.
Pacientul a dorit o culoare cât mai naturală a noii lucrări și o corecție a defectului gingival anterior. Pacientul a beneficiat de implanturi cu încărcare imediată, putând primi dinți ficși în 24h. Au fost făcute chiuretaje parodontale cu laser pentru stoparea bolii parodontale și adiție osoasă.
Pentru lucrarea definitivă a fost folosită o lucrare pe suport de titan și estetică realizată din zirconiu ceramică.
Caz de reabilitare orală totală
După
După
După
După
După
Înainte
Înainte
Înainte
Provocarea acestui caz a fost în salvarea tuturor elementelor dentare restante, corecția liniei gingivale pentru simetria coroanelor și tratarea bolii parodontale.
Pacientul și-a dorit o culoare mult mai deschisă decât a vechilor dinți, cat și o formă cat mai simetrică și plană a dinților. Pacientul a beneficiat de tratamente parodontale și chiuretaje cu laser, tratamente endodontice de canal sub microscop, schimbarea obturațiilor vechi (plombe), reechilibrarea mușcăturii prin coroane provizorii de lungă durată, iar în final încheind cu coroane de zirconiu ceramică individuale.
După
După
După
După
După
Înainte
Înainte
Înainte
După
După
După
După
Înainte
Înainte
Înainte
Caz de estetica dentară – Fațete ceramică presată E-Max
După
După
După
După
Înainte
Înainte
Înainte
Provocarea acestui caz a fost în prepararea minim invazivă a dinților centrali rotați și a obține o formă și o culoare cât mai naturală, pacienta dorind un caz de esteticaâă dentară ce să nu fie observabil.
Pacienta a beneficiat de corecție gingivală cu laser pentru uniformizarea asimetriilor gingivale, tratamente endodontice de canal sub microscop, obturațiile vechi (plombe) schimbate cu materiale de compozit cu particule nanoceramice, și fațete dentare din ceramică presată E-Max.
Termen de finalizare 2 săptămâni de la amprentarea finală.
Caz estetică dentară – Coroane zirconiu ceramică – Hollywood Smile
După
După
Înainte
Înainte
Provocarea acestui caz a fost în egalarea și uniformizarea zâmbetului pacientului, acesta având multipli dinți asimetrici cât și corecția mușcăturii inverse în zona molarilor.
Pacientul nu a dorit aparat dentar. Ca material a fost folosit zirconiu ceramică, pentru o rezistență crescută, pacientul având bruxism (scrâșnit) dentar pronunțat. Pacientul a dorit un Hollywood Smile, însemnând o culoare mult mai deschisă decât a vechilor dinți, optând pentru o nuanță Bleach 2, dar și o formă cât mai netedă și perfectă a noilor coroane.
Pacientul a beneficiat de schimbarea obturațiilor vechi (plombe), tratamente de canal realizate la microscop, cât și de evaluarea problemelor parodontale.
După
După
Înainte
Înainte
După
După
După
După
Înainte
Înainte
Înainte
Reabilitare orală completă a maxilarului
După
După
După
După
Înainte
Înainte
Înainte
Provocarea acestui caz a fost în păstrarea unei forme a noii danturi, cât mai asemănătoare cu a vechii danturi, dând doar un ușor volum noilor coroane, pentru un aspect cât mai natural.
Pacientul și-a dorit o culoare cât mai naturală pentru un aspect de refresh al noii danturi.
Pacientul a beneficiat de coroane și punți de zirconiu și ceramică presată, tratamentul cariilor și tratamente de canal sub microscop.
Proteză pe 6 mini implanturi cu capse de la Straumann
După
După
Înainte
Înainte
Provocarea acestui caz a fost atât de estetică, pacienta dorind să își păstreze diastema ( strugareata) pe care a avut-o în dantura originală, cât și de ordin chirurgical doamna având un os extrem de retras și moale, lucru ce ne-a făcut să optăm pentru varianta de mini implanturi cu capse.
Pacienta a beneficiat de 6 mini implanturi cu capse de la Straumann, și o lucrare definitivă mobilizabilă pe capse, fără cerul gurii, pentru a se putea bucura de gustul, textura și temperatura alimentelor.
Timp de realizare 2 săptămâni de la implantare.
După
După
Înainte
Înainte
După
După
Înainte
Înainte
Proteză pe 6 mini implanturi cu capse de la Straumann
După
După
Înainte
Înainte
Provocarea acestui caz a fost de ordin chirurgical doamna având un os extrem de retras și moale , lucrarea veche de tip metalo-acrilică fiind extrem de veche, iar bonturile (dinții stâlpi pe care se sprijinea lucrarea) fiind distruși.
Acest lucru ne-a făcut să optăm pentru varianta de mini implanturi cu capse. Pacienta a beneficiat de 6 mini implanturi cu capse de la Straumann, și o lucrare definitivă mobilizabilă pe capse , fără cerul gurii, pentru a se putea bucura de gustul, textura și temperatura alimentelor.
Timp de realizare 2 săptămâni de la implantare.
Proteză pe 6 mini implanturi cu capse de la Straumann
După
După
Înainte
Înainte
Înainte
Provocarea acestui caz a fost de ordin chirurgical doamna având un os extrem de retras și moale, lucrarea veche de tip metalo-acrilică fiind extrem de veche, iar bonturile (dinții stâlpi pe care se sprijinea lucrarea) fiind distruși.
Acest lucru ne-a făcut să optăm pentru varianta de mini implanturi cu capse. Pacienta a beneficiat de 6 mini implanturi cu capse de la Straumann, și o lucrare definitivă mobilizabilă pe capse, fără cerul gurii, pentru a se putea bucura de gustul, textura și temperatura alimentelor.
Timp de realizare 2 săptămâni de la implantare.
După
După
Înainte
Înainte
Înainte
După
După
După
Înainte
Înainte
Înainte
Caz de estetică dentară de fațetate directă la microscop
După
După
După
Înainte
Înainte
Înainte
Provocarea acestui caz a constat în dorința expres a pacientei de a-și reconstrui dintiii prin tehnica de adiție cu materiale, fără prepararea lor. Am optat pentru tehnica minim invazivă de fatetare la microscop, folosind cele mai bune materiale de compozit cu particule nanoceramice.
Această tehnică se pretează doar pentru dinții mici, care pot căpăta volum, pentru dinții cu spațieri sau pentru dinții care tocmai au încheiat tratamentul ortodontic.
Timp de realizare 8h.
Caz de estetică dentară de fațetate directă la microscop
După
După
După
După
După
Înainte
Înainte
Înainte
Înainte
Înainte
Provocarea acestui caz a constat în dorința expres a pacientei de a-și reconstrui dintiii prin tehnica de adiție cu materiale, fără prepararea lor.
Am optat pentru tehnica minim invazivă de fatetare la microscop, folosind cele mai bune materiale de compozit cu particule nanoceramice.
Această tehnică se pretează doar pentru dinții mici, care pot căpăta volum, pentru dinții cu spațieri sau pentru dinții care tocmai au încheiat tratamentul ortodontic.
Timp de realizare 8h.
După
După
După
După
După
Înainte
Înainte
Înainte
Înainte
Înainte
După
După
După
După
După
Înainte
Înainte
Caz de estetică dentară de fațetate directă la microscop
După
După
După
După
După
Înainte
Înainte
Provocarea acestui caz a constat în dorința expres a pacientei de a-și reconstrui dințiii prin tehnica de adiție cu materiale, fără prepararea lor. Am optat pentru tehnica minim invazivă de fațetare la microscop, folosind cele mai bune materiale de compozit cu particule nanoceramice.
Această tehnică se pretează doar pentru dinții mici, care pot căpăta volum, pentru dinții cu spațieri sau pentru dinții care tocmai au încheiat tratamentul ortodontic.
Timp de realizare 8h.
Caz de estetică dentară de fațetate directă la microscop
După
După
După
După
După
După
După
Înainte
Înainte
Înainte
Înainte
Înainte
Provocarea acestui caz a constat în dorința expres a pacientei de a-și reconstrui dințiii prin tehnica de adiție cu materiale, fără prepararea lor. Am optat pentru tehnica minim invazivă de fațetare la microscop, folosind cele mai bune materiale de compozit cu particule nanoceramice.
Această tehnică se pretează doar pentru dinții mici, care pot căpăta volum, pentru dinții cu spațieri sau pentru dinții care tocmai au încheiat tratamentul ortodontic.
Timp de realizare 8h.
După
După
După
După
După
După
După
Înainte
Înainte
Înainte
Înainte
Înainte
Unele povești merită împărtășite. Mai ales cele de la iSmile.
Descoperă și povestea zâmbetelor adevărate. Află de la ei adevărata putere a unui zâmbet iSmile.
Unele povești merită împărtășite. Mai ales cele de la iSmile.
Descoperă și povestea zâmbetelor adevărate. Află de la ei adevărata putere a unui zâmbet iSmile.
Încă nu te-ai hotărât?
Află ce spun pacienții noștri despre cazurile lor.
I have done my fair share of dental work in different cities, countries and even continents. iSmile team is by far one of the best that I have encountered. I needed a dental implant and Dr.Sonia was everything you would want your dentist to be: very knowledgeable, friendly and made you feel so relax, reassuring you that everything will be just fine. After the consultation came up the actually implant appointment, which I dragged for quite a while. It sounds like an oxymoron, but was the most relaxed dentist appointment I ever had. She was able to add a temporary crown while I’m waiting my implant to heal.
Ismile Dental este locul ideal unde sa mergi dacă ai o problema stomatologica. Clinica este moderna și curata. Personalul este tânăr, amabil și, cel mai important, profesionist. Am avut plăcerea sa fiu tratata de mai mulți doctori din cadrul clinicii și am doar cuvinte de lauda pentru toți. Mulțumesc pentru serviciile pe care le oferiți cu atâta profesionalism.
Unfortunately I can only give 5 stars. I wish I can give more. Best clinic I’ve set foot in my life, and I had some problems with my teeth in my life. Dr Sonia and the rest of the team was incredibly nice and reassuring. I have a very complicated procedure Fast and fixed and I spent 8 hours on the chair but it all went very smooth becouse of her and the well trained team. She even played my favourite songs. 😃 Definitely recommend and I will tell the world about ISmile. Thanks again Sonia.
O echipa intr-adevar profesionista in ceea ce priveste promptitudinea cat si calitatea serviciilor. In special d-ra Dr Sonia Constantinescu este o persoana deosebita, foarte atenta la detalii, cu o mana foarte usoara! Este mereu conectata la noutatile din domeniul Stomatologiei actuale. Tratamente fara durere. Servicii de inalta calitate! Recomand cu incredere!
I have done my fair share of dental work in different cities, countries and even continents. iSmile team is by far one of the best that I have encountered. I needed a dental implant and Dr.Sonia was everything you would want your dentist to be: very knowledgeable, friendly and made you feel so relax, reassuring you that everything will be just fine. After the consultation came up the actually implant appointment, which I dragged for quite a while. It sounds like an oxymoron, but was the most relaxed dentist appointment I ever had. She was able to add a temporary crown while I’m waiting my implant to heal.
O echipa intr-adevar profesionista in ceea ce priveste promptitudinea cat si calitatea serviciilor. In special d-ra Dr Sonia Constantinescu este o persoana deosebita, foarte atenta la detalii, cu o mana foarte usoara! Este mereu conectata la noutatile din domeniul Stomatologiei actuale. Tratamente fara durere. Servicii de inalta calitate! Recomand cu incredere!
Unfortunately I can only give 5 stars. I wish I can give more. Best clinic I’ve set foot in my life, and I had some problems with my teeth in my life. Dr Sonia and the rest of the team was incredibly nice and reassuring. I have a very complicated procedure Fast and fixed and I spent 8 hours on the chair but it all went very smooth becouse of her and the well trained team. She even played my favourite songs. 😃 Definitely recommend and I will tell the world about ISmile. Thanks again Sonia.
Ismile Dental este locul ideal unde sa mergi dacă ai o problema stomatologica. Clinica este moderna și curata. Personalul este tânăr, amabil și, cel mai important, profesionist. Am avut plăcerea sa fiu tratata de mai mulți doctori din cadrul clinicii și am doar cuvinte de lauda pentru toți. Mulțumesc pentru serviciile pe care le oferiți cu atâta profesionalism.
Aici “făurim” cele mai frumoase zâmbete.
Te invităm să descoperi în imagini clinica noastră modernă, cu echipamente de ultimă generație, pregătită să îți ofere ție și celor dragi o atmosferă prietenoasă, confortabilă dar mai ales sigură. Te așteptăm pe la noi!
Aici “făurim” cele mai frumoase zâmbete.
Te invităm să descoperi în imagini clinica noastră modernă, cu echipamente de ultimă generație, pregătită să îți ofere ție și celor dragi o atmosferă prietenoasă, confortabilă dar mai ales sigură. Te așteptăm pe la noi!